Röntgen auf die sanfte Tour ...

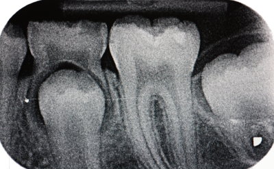
In den engen Zwischenräumen und unter allen Füllungen kann oftmals trotz Licht und Spiegel Karies nicht erkannt werden. Deshalb benötigen wir Röntgenbilder, um einen vollständigen Befund erstellen zu können. Durch die Röntgenbilder können schon beginnende kariöse Defekte rechtzeitig erkannt werden, so dass sie noch mit kleinen Füllungen versorgt werden können.

In unserer Praxis verwenden wir ausschließlich digitales Röntgen, wodurch die Strahlenbelastung um ca. 90 % reduziert wird.

Wann ist Röntgen sinnvoll?

  1. Bei neuen Patienten für die Kariesdiagnostik und um den Entwicklungsstand des Gebisses beurteilen zu können
  2. Bei Kindern mit viel Karies > bis 2x jährlich
Diagnostik - Röntgen
 
© 2011 | Kammerer Druck & Medien